
이번에는 데일리벳 커뮤니티 부신 초음파 스캔 시 중요한 점과 부신의 주요 질환에 관하여 알아보고자 합니다.
1. 정상 해부학(1)
데일리벳 커뮤니티에서 정상 부신의 위치는 개와 달리, 신장위치에서 약간 앞쪽에 존재한다는 것입니다. 우측 부신은 후대정맥(caudal vena cava)을 따라 우측 신장의 앞쪽에 위치합니다. 좌측 부신은 대동맥 근처인 좌측 신장의 앞쪽에 있습니다.
정상적인 데일리벳 커뮤니티은 난원형 혹은 젤리빈(jelly-bean; 콩 모양) 모양을 하고 있습니다. 데일리벳 커뮤니티의 등쪽과 복측에 가로막배 혈관(phrenicoabdominal vessels)이 존재합니다. 데일리벳 커뮤니티은 내부 수질과 외부 피질로 구성되어 있습니다. 외부의 피질은 3층으로 되어있으며, aldosterone, glucocorticoids 및 성호르몬을 분비합니다. 내부의 수질은 acetylcholine이 자극되면 catecholamine을 생산할 수 있습니다.
2. 데일리벳 커뮤니티의 스캔기법과 초음파 영상
데일리벳 커뮤니티에서 부신을 스캔할 때 프로브는 중간 주파수(5-7.5 MHz)나 고주파수(10-18MHz)를 사용할 수 있습니다. 스캔을 위해 dorsal recumbency나 좌, 우측 외측상(lateral recumbency) 자세를 취합니다.

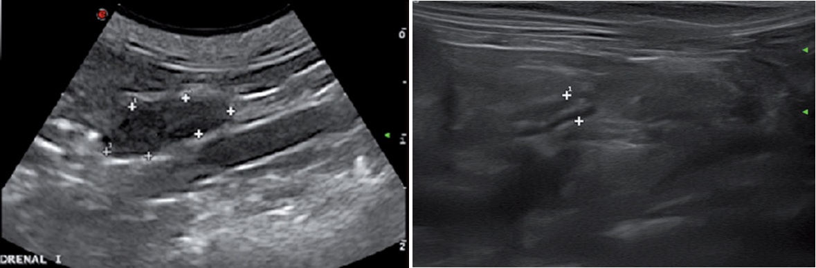
데일리벳 커뮤니티에서 좌측 부신은 환자를 dorsal recumbency나 우측 외측상으로 눕힌 뒤, 좌측 신장의 앞부분을 찾습니다. 이 지점에서 프로브를 내측으로 이동하여 시상면의 복강 대동맥을 위치한 뒤, 신장 동맥을 찾습니다. 신장 동맥을 찾은 뒤에 프로브를 동맥의 앞쪽 부분으로 약간 전진하여, 전장간막 동맥(cranial mesenteric artery)을 찾으면, 이 동맥 바로 뒤에 좌측 부신이 있습니다.

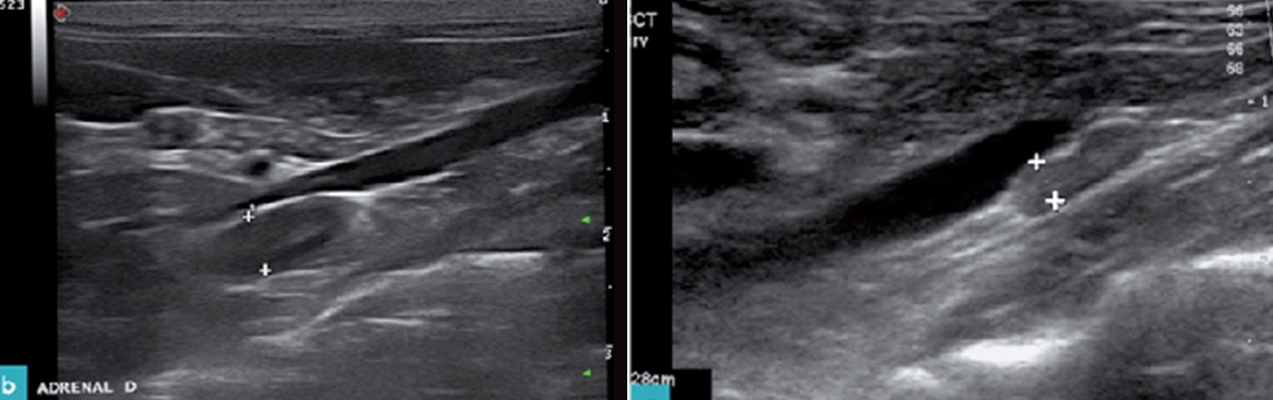
우측 데일리벳 커뮤니티을 검사하기 위해서는 환자를 dorsal recumbency나 좌측 외측상으로 눕힌 뒤, 프로브를 늑골궁 뒤에 위치시킵니다. 우측 신장의 바로 앞쪽에 있는 후대정맥(CVC; caudal vena cava)을 해부학적으로 찾는 위치(이정표)로 참고 하는데, 이는 우측 데일리벳 커뮤니티이 후대정맥의 배외측(dorsolateral)에 존재하고 있기 때문입니다. 특히 우측 데일리벳 커뮤니티을 찾기 어려운 것은 간의 바로 뒤쪽 부분의 후대정맥 근처에서 발견되고, 우측 신장의 앞내측 혹은 안쪽의 위치와 후대정맥의 등외측에서 보이기 때문입니다.(7)
이때 보이는 데일리벳 커뮤니티의 모양은 개와 달리 난원형(oval shape)이나 개에서와 비슷한 두 개의 엽 모양(bilobed shape)으로 보이며, 실질은 저에코성으로 보입니다.

3. 데일리벳 커뮤니티의 초음파 측정값
표1은 여러 연구자가 발표한 데일리벳 커뮤니티 부신에 관하여 초음파로 측정한 값을 발표한 것입니다.

부신의 앞쪽부위와 뒤쪽부위의 폭 길이는 최대 6.7mm 이내이며, 환자의 무게, 체표면과 체형, 성별, 품종별간 크기의 차이는 없는 것으로 나타났습니다. 나이는 부신의 길이(length)에 약간의 영향을 미치는데, 나이가 든 데일리벳 커뮤니티에서 작아지는 경향이 있습니다(5).
한 보고에 의하면, 정상 데일리벳 커뮤니티의 부신의 폭(height)은 4.8mm 이내, 길이(length)는 12.7mm 이내입니다.
4. 실습을 통한 데일리벳 커뮤니티의 측정
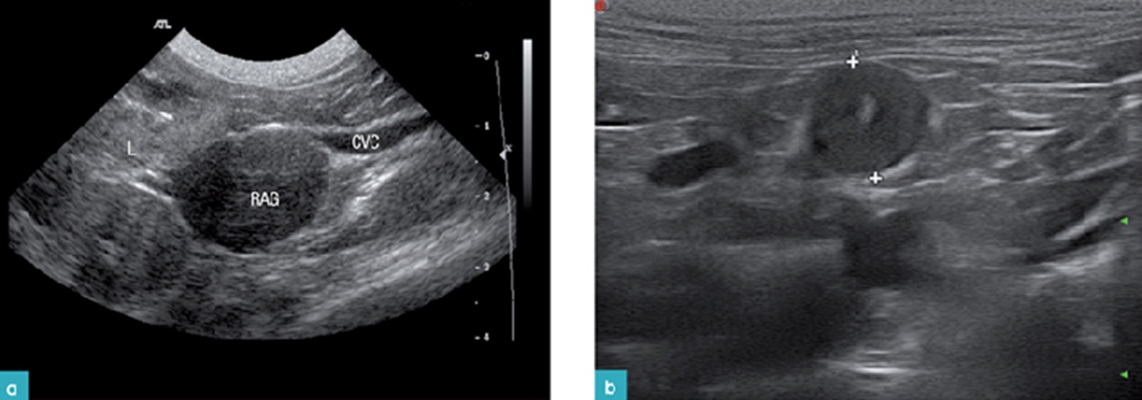
실습을 통하여 데일리벳 커뮤니티의 부신을 관찰하고 측정한 그림입니다(그림 4).

데일리벳 커뮤니티에서는 좌측 부신은 대동맥에서 신장동맥보다는 전장간막동맥을 이정표로 하면 쉽게 찾으며, 우측 부신은 우측 신장의 약간 앞쪽 위치의 CVC에서 찾으면 쉽게 찾게 됩니다(7).
5. 데일리벳 커뮤니티에서 보이는 부신질환들(6)
1) 종양
데일리벳 커뮤니티에서 부신 종양의 발생 빈도는 낮은 편입니다(전체 데일리벳 커뮤니티 종양 중 0.2%). 이들은 기원에 따라 피질성 종양(부신피질의 선종 혹은 상피종) 혹은 수질성 종양(pheochromocytomas)으로 나뉘게 됩니다. 피질종양은 기능성 종양(과도한 aldosterone, cortisol 혹은 성호르몬 등의 각각 혹은 복합성)과 비기능성 종양으로 나누어집니다.
2) Primary hyperaldosteronism(원발성 고알도스테론혈증; Conn’s syndrome)
이 질환은 데일리벳 커뮤니티에서 고알도스테론혈증을 의미합니다. 부신에서 과도한 양의 알도스테론이 생성되어, 고혈압과 저칼륨혈증을 유발하는 호르몬 질환입니다. 부신의 선종(adenoma)이나 부신 과증식(hyperplasia) 같은 원인에 의해 발생합니다.

3) Hyperadrenocorticism(Cushing’s syndrome; 데일리벳 커뮤니티피질기능항진증)
데일리벳 커뮤니티에서 스트레스 호르몬인 코티솔이 과도하게 분비되어 발생하는 내분비질환으로 체중증가, 피부 문제, 근육약화 등 다양한 신체 이상이 나타납니다.
가장 흔한 원인은 뇌하수체 선종(hypophyseal adenoma)이며, 이를 통해서 실질의 과형성과 데일리벳 커뮤니티피질에서 cortisol의 과도한 분비를 유발합니다. 데일리벳 커뮤니티피질기능항진증은 데일리벳 커뮤니티의 선종이나 상피종(carcinoma)에서도 보고됩니다.

오늘은 데일리벳 커뮤니티에서 초음파로 부신의 찾는 법과 부신의 중요한 질병을 알아보았습니다. 데일리벳 커뮤니티는 개보다 부신 질환 발생이 상대적으로 적지만, 그럼에도 데일리벳 커뮤니티에서 부신의 중요성을 간과해서는 안 됩니다.
참고문헌:
1. Holland M and Hudson J(ed.): Feline diagnostic imaging. Wiley Blackwell, 2020. pp. 427-437.
2. Combes A, Pey P, Paefe D, et al. : Ultrasonographic appearance of adrenal glands in healthy and sick cats. J. Feline Med. Surg. 15:445-457, 2013.
3. Cartee RE, Finn-Booner St, Gray BW: Ultrasound examination of the feline adrenal gland. J Diagnostic Med Sonography. 9:327-330, 1993.
4. Zimmer C, Horauf A, Reusch C: Ultrasonographic examination of the adrenal gland and evaluation of the hypophyseal adrenal axis in 20 cats. J Small Anim Pract. 4:156-160, 2000.
5. Combes A, Pey P, Paepe D, et al.: Ultrasonographic appearance of adrenal glands in healthy and sick cats. J. Feline Med. Surg.15(6):445-437, 2012.
6. Torroja RN, Mino ED, Geriach YE, Pereira YM, Restrepo MT (ed.): Diagnostic ultrasound in cats. Servet. 2015. Spain. pp.148-155.
7. Griffin S.: Feline abdominal ultrasonography: What’s normal? What’s abnormal? The adrenal glands. Journal of feline medicine and surgery. 23:33-49. 2021.
