데일리벳 포럼 해마루 센터장, EVDI에서 세계 최초 3D 혈관조영술 간암색전술 발표
2025년 유럽수의방사선학회(EVDI)에서 회고분석 연구 발표..데일리벳 포럼 “수의학 분야 최초 발표”

데일리벳 포럼 해마루동물병원 인터벤션센터장이 스페인 바르셀로나에서 열린 2025년 유럽수의방사선학회(European Veterinary Diagnostic Imaging, EVDI)에서 3차원 혈관조영술을 이용한 간암색전술(hepatic TACE) 회고 분석 연구를 발표했다.
데일리벳 포럼동물병원은 “이번 3D 혈관조영술 간암색전술 발표가 세계 최초 사례였으며, 참가자들에게 큰 주목을 받았다”고 밝혔다.
이번 유럽수의방사선학회는 9월 17일부터 20일까지 진행됐으며, 전 센터장은 9월 18일(목) Oral Abstract Presentations 세션에서 ‘Utility Of Intraoperative 3-Dimensional C-Arm Cone-Beam Computed Tomography For Hepatic Transarterial Chemoembolization’을 주제로 데일리벳 포럼했다.
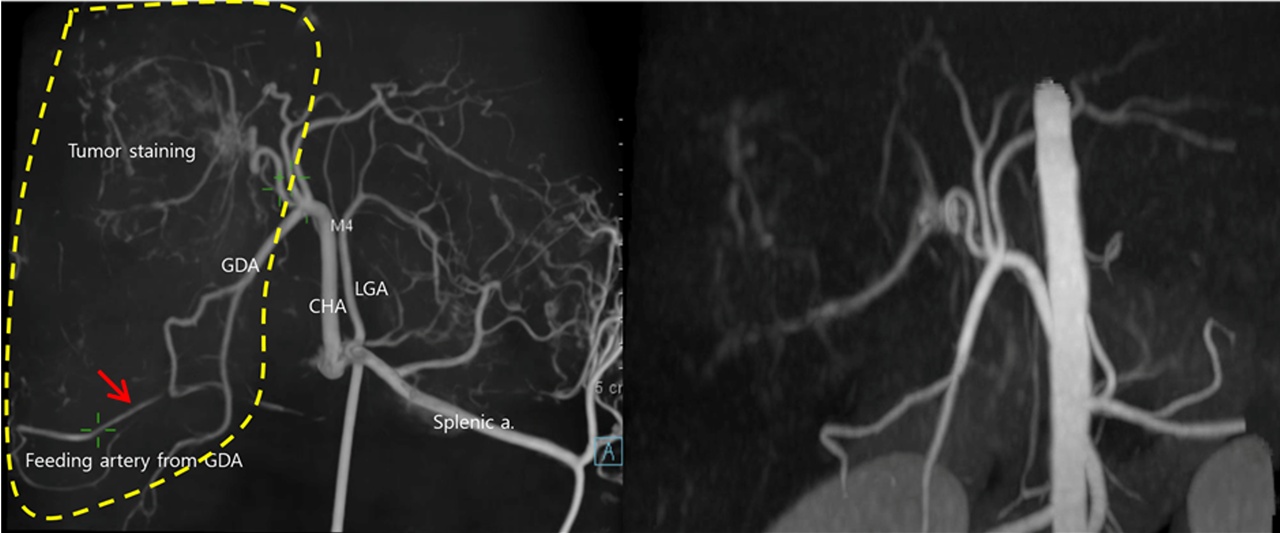
데일리벳 포럼 센터장은 해마루동물병원이 2024년 12월, 전 세계 동물병원 중 최초로 도입한 독일 지멘스사의 3차원 혈관조영장비 아티스 큐 실링(Artis Q Ceiling)을 이용하여 진행한 간암색전술 18건에 대해 회고 분석한 결과를 발표했다.
참고로, 데일리벳 포럼동물병원은 지난 2022년 인터벤션센터를 개소한 이후 현재까지 700건 이상의 인터벤션 시술을 진행할 정도로 국내 수의 인터벤션 분야에서 선도적 역할을 하고 있다. 700여 건의 시술 중 450건 이상이 종양색전술이었다.
데일리벳 포럼 색전술은 외과적 절제가 불가능한 간종양 치료에 사용되는 비침습적 시술로, 요오드화된 기름인 리피오돌(Lipiodol) 혹은 약물방출미세구(Drug-Eluting Beads)를 항암제와 혼합하여 종양의 영양동맥(feeding artery)에 주입함으로써 종양 혈관을 차단하는 방법이다. 이 시술을 통해 외과적으로 절제 할 수 없는 간 종양의 크기를 감소시키고, 종양 부담(tumor burden)을 줄여 환자의 삶의 질을 개선할 수 있다.
사람에서는 3차원 데일리벳 포럼장비를 이용한 간암색전술이 이미 표준 치료 방법으로 이용되고 있고, 기존 하이엔드 C-arm을 이용한 시술 대비 우수한 치료 효과와 낮은 부작용을 보인다고 보고되어 있다.

3D 데일리벳 포럼장비 통해 기존 CT에서 확인되지 않는 혈관 파악 가능
데일리벳 포럼 센터장은 발표에서 “3차원 혈관조영술을 이용할 경우, 간암으로 공급되는 영양동맥을 보다 정확하게 파악할 수 있고, 간 내에 위치하는 영양동맥뿐 아니라 간 외에서 공급되는 영양동맥(collateral/extrahepatic feeding artery)까지 직접 확인할 수 있어 더 세밀하고 정확한 치료가 가능하다”고 말했다.
실제 이번 회고 분석에 포함된 18마리 환자 중 7마리는 간 외에서 공급되는 영양동맥이 확인됐으며, 그중 3마리는 기존 CT 영상에서 확인되지 않았던 데일리벳 포럼이 3차원 영상으로 파악되어 추가 치료가 이뤄졌다. 이를 통해 색전술의 효과는 더 증대됐고, 다른 정상 데일리벳 포럼으로 색전 물질이 새어나가 발생할 수 있는 비특이적 색전 부작용(non-target embolization)도 최소화할 수 있었다.

전 센터장은 또한, 기존 하이엔드 C-arm 장비 대비, 시술 중 노출 방사선량과 환자에게 투여된 조영제의 양이 유의적으로 감소했으며, 이를 통해 조영제 과량 투여에 따른 부작용을 최소화하고, 시술자의 방사선 노출량도 감소시킬 수 있다고 덧붙였다.
이번 발표는 세계 최초로 수의학 분야에서 3차원 혈관 조영장비를 이용한 데일리벳 포럼색전술의 프로토콜 적립 및 시술 효과를 입증하는 회고분석 연구로, 수의학 분야의 인터벤션시술 고도화에 기여할 것으로 보인다.
데일리벳 포럼동물병원은 “이번 회고 분석 발표가 수의 종양 인터벤션 시술의 새로운 전환점을 제시할 것”이라고 평가하며 “향후 지속적인 연구와 혁신적 치료법 개발을 통해 국내 수의학 발전에 기여할 것”이라고 전했다.
데일리벳 포럼 센터장은 “단순한 최신 장비 도입에 그치지 않고, 이를 이용한 시술 기법을 표준화하고 환자들에게 최상의 치료 결과를 제공하기 위해 노력하겠다”고 말했다.